Computer-
unterstützte
Implantologie

Computerunterstützte Implantologie

Seit nunmehr 38 Jahren werden in unserer Praxis fehlende Zähne durch Implantate ersetzt.


Implantat


In dieser Zeit hat sich viel getan. Heute kann man zurecht von High-End-Implantologie sprechen. Implantate werden in unserer Praxis schon seit 25 Jahren computerunterstützt geplant und eingesetzt werden. Dabei haben sich natürlich die Röntgenverfahren, die Software und die OP-Durchführung stets weiterentwickelt.

3-Dimensionale Bildgebung

Seit dem Jahr 2008 ist in unserer Praxis ein spezielles Röntgengerät für 3-Dimensionale digitale Röntgenbilder vorhanden. Ein DVT (dentaler digitaler Volumentomograph).


Gendex


Die Daten dieses strahlungsarmen Röntgengerätes werden digital verarbeitet...


Implantat


...und mit Hilfe dieser Daten wird eine Implantatplanung mit unerreichter Exaktheit unter Schonung gefährdeter Strukturen, wie z.B. Nerven vorgenommen.


Implantat Implantat


Navigiertes Operieren

Diese exakte Planung kann dann mit Hilfe von speziell angefertigten Bohrschablonen am Patienten umgesetzt werden.


Implantat


Das Ergebnis ist eine schonende Operation, bei der Schwellungen, Schmerzen und sonstige Komplikationen ganz deutlich minimiert werden.

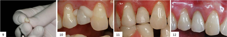
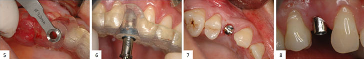
Beispiel: Ein oberer kleiner Backenzahn fehlt...

Ablauf1

Ablauf2

Ablauf3